அறுவை சிகிச்சை இன்றி எண்டோஸ்கோபி மூலம் பெண்ணின் உணவு குழாயில் சிக்கிய ஊக்கு அகற்றம்-சேலம் அரசு ஆஸ்பத்திரி டாக்டர்கள் சாதனை

அறுவை சிகிச்சை இன்றி எண்டோஸ்கோபி மூலம் பெண்ணின் உணவு குழாயில் சிக்கிய ஊக்கை அகற்றி சேலம் அரசு ஆஸ்பத்திரி டாக்டர்கள் சாதனை படைத்தனர்.;

Update:2023-09-02 01:22 IST

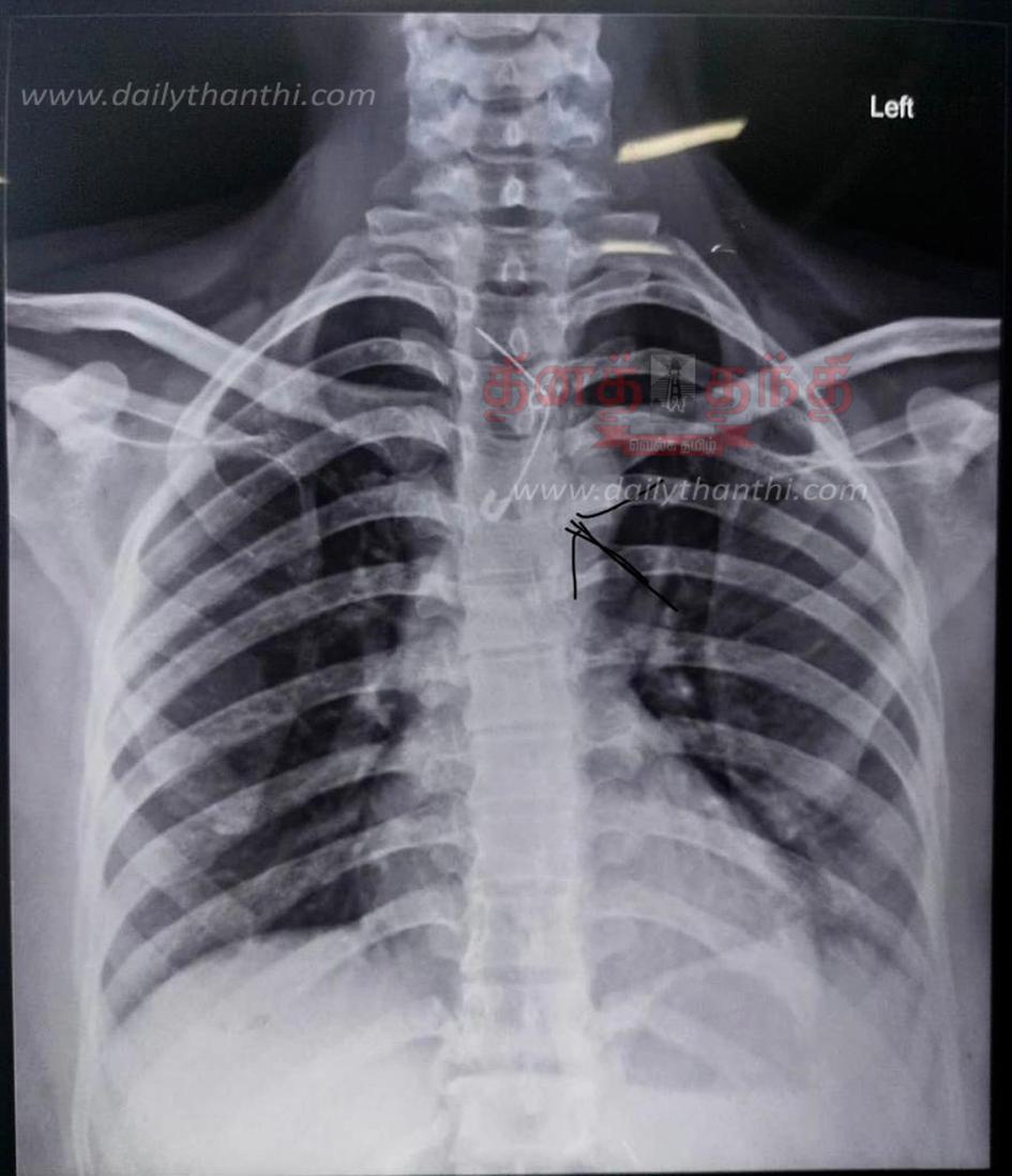
உணவு குழாயில் 'ஊக்கு'

தர்மபுரி மாவட்டம் பாப்பிரெட்டிப்பட்டியை சேர்ந்தவர் கலா (வயது 32). இவர், நேற்று முன்தினம் வீட்டில் இருந்தபோது தனது பல்லில் சிக்கிக் கொண்ட உணவை சுத்தம் செய்வதற்காக ஊக்கை (சேப்டி பின்) பயன்படுத்தியுள்ளார். அப்போது அவர் எதிர்பாராதவிதமாக ஊக்கை விழுங்கிவிட்டார்.

அது உணவு குழாயில் சிக்கி கொண்டது. அவரால் எச்சில் கூட விழுங்க முடியாமல் அவதிப்பட்டார். தொண்டையில் வலி அதிகமாகி மிகுந்த சிரமத்திற்கு ஆளானார். இரவோடு இரவாக கலாவை சிகிச்சைக்காக சேலம் அரசு ஆஸ்பத்திரியில் அனுமதித்தனர்.

உடனடி சிகிச்சை

இதையடுத்து டாக்டர்கள் கலாவுக்கு உடனடியாக சிகிச்சையை தொடங்கினர். கலாவுக்கு தொண்டை பகுதியில் எக்ஸ்ரே உள்ளிட்ட பரிசோதனை செய்து பார்த்தபோது, நெஞ்சு பகுதியின் உணவு குழாயின் மேல் பகுதியில் அந்த 'ஊக்கு' சிக்கியிருப்பது கண்டறியப்பட்டது. பின்னர் டாக்டர்கள் உடனடியாக எண்டோஸ்கோபி சிகிச்சைக்காக மயக்க மருந்து கொடுத்து ஊக்கை அகற்ற ஏற்பாடு செய்தனர்.

பிறகு அறுவை சிகிச்சை இல்லாமலேயே எண்டோஸ்கோபி கருவியை உணவுக்குழாயில் செலுத்தி அங்கு சிக்கி இருந்த ஊக்கை நோயாளிக்கு எந்த பாதிப்பும் இல்லாமல் டாக்டர்கள் அகற்றினர். சிறிது நேரத்தில் மயக்கம் தெளிந்த கலா, தொண்டையில் சிக்கி இருந்த 'ஊக்கு' அகற்றப்பட்டதை அறிந்து நிம்மதி பெருமூச்சு விட்டார்.

பாராட்டு

இந்த சிக்கலான எண்டோஸ்கோபி சிகிச்சையை மருத்துவமனையில் நோயாளியை அனுமதித்த 3 மணி நேரத்திற்குள்ளாகவே குடல் அறுவை சிகிச்சை துறைத்தலைவர் டாக்டர் சிவசங்கர் தலைமையில் டாக்்டர்கள் கார்த்திகேயன், சிவசுப்ரமணியம் ஆகியோர் கொண்ட குழுவினர் வெற்றிகரமாக செய்து முடித்தனர். இந்த குழுவினரை அரசு மருத்துவமனை டீன் மணி, கண்காணிப்பாளர் தனபால் ஆகியோர் பாராட்டினர். மேலும், நோயாளி கலாவும், அவரது குடும்பத்தினரும் டாக்டர் குழுவினருக்கு நன்றி தெரிவித்துக்கொண்டனர்.

இதுகுறித்து துறைத்தலைவர் டாக்டர் சிவசங்கர் கூறும்போது, பொதுமக்கள் தங்களது பற்களில் சிக்கும் உணவுப்பொருட்களை எடுக்க 'ஊக்கு' போன்றவற்றை பயன்படுத்த கூடாது. அவ்வாறு பயன்படுத்தினால் இதுபோன்று ஆபத்தான நிலையை சந்திக்க நேரிடும். எனவே, பொதுமக்கள் விழிப்புணர்வுடன் இருப்பது நல்லது, என்றார்.

Tags:    

மேலும் செய்திகள்